COMPREHENSIVE DENTAL CARE
Call us
(02) 9524 6348
107 Gymea Bay Road
Gymea NSW 2227
Home
About
General Dentistry
Hygienist & Preventative Care
Emergency Treatment
Composite Fillings
Root Canal - Endodontics
Cosmetic Dentistry
Teeth Whitening
Tooth Coloured Fillings
Veneers
Crowns
Bridgework
Dental Implants
Gallery
Whitening
Veneers
Crowns & Bridges
Dental Implants
Your Visit
Contact
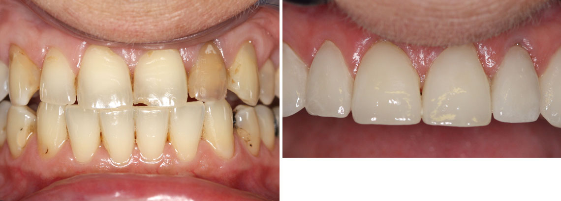
Veneers
Before
After
Before
After
Before
After
Our
Facilities
Our dental surgery boasts the latest facilities and services for your comfort and convenience.
Digital X-Rays
Cerec Unit
HICAPS
Quick
Enquiry
Submit Now
Call us
(02) 9524 6348
107 Gymea Bay Road
Gymea NSW 2227